Gần đây, tình trạng bệnh “phổi trắng” gia tăng tại Châu Âu, Mỹ và Trung Quốc. Bệnh đang là mối quan ngại đối với trẻ em, người có sức đề kháng yếu.
Những điều cần biết về bệnh phổi trắng
- Bệnh phổi trắng là gì?
- Nguyên nhân gây phổi trắng
- Viêm phổi do Mycoplasma pneumoniae
- Khói thuốc lá
- Thời tiết thay đổi thất thường
- Ô nhiễm không khí, môi trường sống
- Do phơi nhiễm khi làm việc
- Bệnh phổi trắng nguy hiểm thế nào?
- Điều trị bệnh phổi trắng
Bệnh phổi trắng là gì?
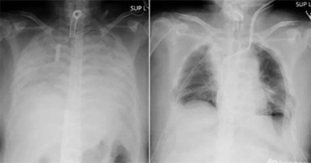
Hội chứng phổi trắng (thường được mọi người gọi là bệnh phổi trắng hay phổi khô) là chỉ tình trạng phổi có màu trắng xoá trên phim chụp X quang.
Chụp X quang phổi là một kỹ thuật quen thuộc trong y khoa. Máy chụp X quang sẽ phát ra những chùm tia X bức xạ cao xuyên qua các cơ quan, dựa trên mức độ hấp thụ và phản hồi của tia X mà cho ra hình ảnh các cơ quan như: phổi, tim, mạch máu,.. trên phim X quang. Các cơ quan, tổ chức bên trong lồng ngực sẽ hiển thị trên phim X quang với các màu sắc trắng, xám, đen với mức độ đậm nhạt khác nhau.
Bình thường, một lá phổi khỏe mạnh khi chụp phim X-quang, thì sẽ thấy phổi trong (hình ảnh hiển thị máu đen). Tuy nhiên, do viêm phổi hoặc bệnh lý khác dẫn đến phim phổi có hình ảnh trắng bất thường.
Ngoài ra, một số triệu chứng chính của bệnh phổi trắng như:
- Ho khan, ho kéo dài, có thể kèm theo đờm
- Khó thở, thở khò khè.
- Đau ngực
- Sốt
- Nhức đầu
- Mệt mỏi

Hình ảnh X-quang phổi trắng. (Ảnh minh họa).
Nguyên nhân gây phổi trắng
Viêm phổi do Mycoplasma pneumoniae
Viêm phổi do các tác nhân vi khuẩn, vi rút, nấm,… có khả năng gây bệnh phổi trắng. Đặc biệt, viêm phổi do vi khuẩn Mycoplasma pneumoniae gây bệnh phổi trắng có xu hướng tăng gần đây.
Khói thuốc lá
Ở những người hút thuốc lá thường xuyên, tỷ lệ mắc bệnh phổi như: bệnh phổi trắng, viêm phổi, tràn dịch màng phổi, lao phổi, ung thư phổi,… tăng cao đáng kể. Bên cạnh đó, hút thuốc lá thụ động (những người hít phải khói thuốc lá) cũng có nguy cơ mắc các bệnh về phổi, đặc biệt là hội chứng phổi trắng.
Thời tiết thay đổi thất thường
Đây là nguyên nhân chính gây nhiều bệnh hô hấp như: cảm lạnh, ho gió, ho khan, ho có đờm, viêm phế quản,… Tuy nhiên, nếu không điều trị sớm và hợp có thể gây tác động đến phổi, dễ dẫn đến bị bệnh phổi trắng.
Ô nhiễm không khí, môi trường sống
Môi trường ô nhiễm, nhiều khói bụi, hóa chất công nghiệp cũng là tác nhân chính gây ra nhiều bệnh tật cho con người, bệnh phổi trắng là một trong số đó.
Do phơi nhiễm khi làm việc
Người lao động làm việc trong môi trường chứa uranium, thạch tín, amiang có nguy cơ cao mắc bệnh phổi trắng. Đặc biệt, làm việc trong môi trường chứa amiang kéo dài có nguy cơ mắc ung thư phổi rất cao.
Bệnh phổi trắng nguy hiểm thế nào?
Bệnh phổi trắng nếu phát hiện sớm & điều trị kịp thời, đúng cách thì sẽ khỏi hoàn toàn & không tác động đến sức khỏe bệnh nhân. Ngược lại, nếu điều trị muộn hoặc sai cách thì bệnh phổi trắng nguy hiểm gây nhiều tác hại tác động nghiêm trọng đến sức khỏe như:
- Hình thành áp xe phổi
- Tràn dịch màng phổi, suy hô hấp
- Nhiễm trùng huyết: Một số trường hợp vi khuẩn có thể xâm nhập vào máu gây nhiễm khuẩn máu, sau đó chúng sẽ nhanh chóng lây lan tới các cơ quan khác gây suy đa cơ quan và cuối cùng là tử vong nếu không điều trị kịp thời.
Điều trị bệnh phổi trắng
Hội chứng phổi trắng có thể điều trị được, tuy nhiên phụ thuộc nhiều vào mức độ nghiêm trọng và nguyên nhân gây ra bệnh, mà khả năng và kế hoạch điều trị khác nhau.
Tùy thuộc vào nguyên nhân gây ra phổi trắng, bác sĩ sẽ đưa ra phương pháp điều trị phù hợp như: thuốc kháng sinh để điều trị nhiễm trùng, thuốc điều trị triệu chứng, ngăn ngừa biến chứng.
Trong trường hợp phổi trắng là do các bệnh lý khác, bác sĩ sẽ điều trị các bệnh lý đó để cải thiện tình trạng phổi.
- Giải mã căn bệnh hiếm gặp, không chữa được mang tên “bệnh ma cà rồng”
- Rối loạn nhân cách ranh giới là gì?
- Prairie madness: Căn bệnh lạ khiến nhiều người sau khi định cư ở thảo nguyên đột ngột phát điên!
Biên tập viên
Bài mới nhất
Khoa học7 Tháng 10, 2024Những bí ẩn về Thủy quái Thái Bình Dương Cthulhu
Khoa học7 Tháng 10, 2024Tại sao loài “động vật hạnh phúc nhất thế giới” có nguy cơ tuyệt chủng?
Khoa học7 Tháng 10, 2024Mẫu vật cách Trái đất 340 triệu km tiết lộ những bí ẩn về nguồn gốc sự sống
Khoa học7 Tháng 10, 2024Thủ phạm gây ra ảo ảnh trên sa mạc





